NEW: Symptomatic Intramural Hematoma (IMH) from Penetrating Atherosclerotic Ulcer (PAU) and Ulcer-Like Projections (ULP)
74-year-old female with chest / back pain.
Video A. Axial stack of images shows focal outpouchings of contrast extending into and beyond the expected aortic wall, with both broad-based and narrow necks. Broad-based lesions are consistent with penetrating atherosclerotic ulcers (PAU), while the narrow neck lesions are consistent with ulcer-like projections (ULP).
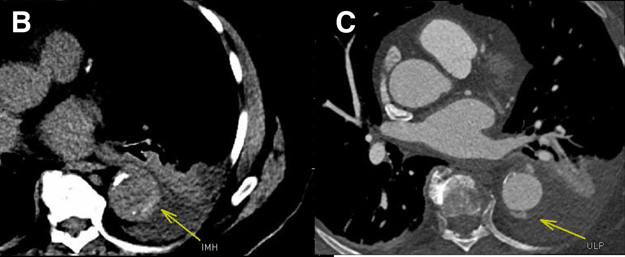
Figure B. Non-contrast series shows high density within the wall of the aorta, consistent with intramural hematoma (IMH, arrow).
Figure C. CTA images shows an adjacent ulcer-like projection (arrow, ULP).
Patient demographics:
Height: 162 cm
Weight: 65 kg
CTA injection parameters:
Scan time: 4 sec
Diagnostic (“trigger”) delay: 6 sec
Bolus triggering: Descending thoracic aorta
Tube energy: 120 kVp
Contrast concentration: 370 mgI/mL
Contrast volume: 52 mL
Contrast flow rate: 4 mL/sec
Saline flush volume: 20 mL
Saline flow rate: 4 mL/sec
Figure C. Volume-Rendered image viewed from posterior shows multiple outpouchings of contrast extending into and beyond the expected aortic wall (arrows).
Figure D. Blood pool inversion (endoluminal) VR image shows shaggy, irregular endoluminal surface (arrowheads).
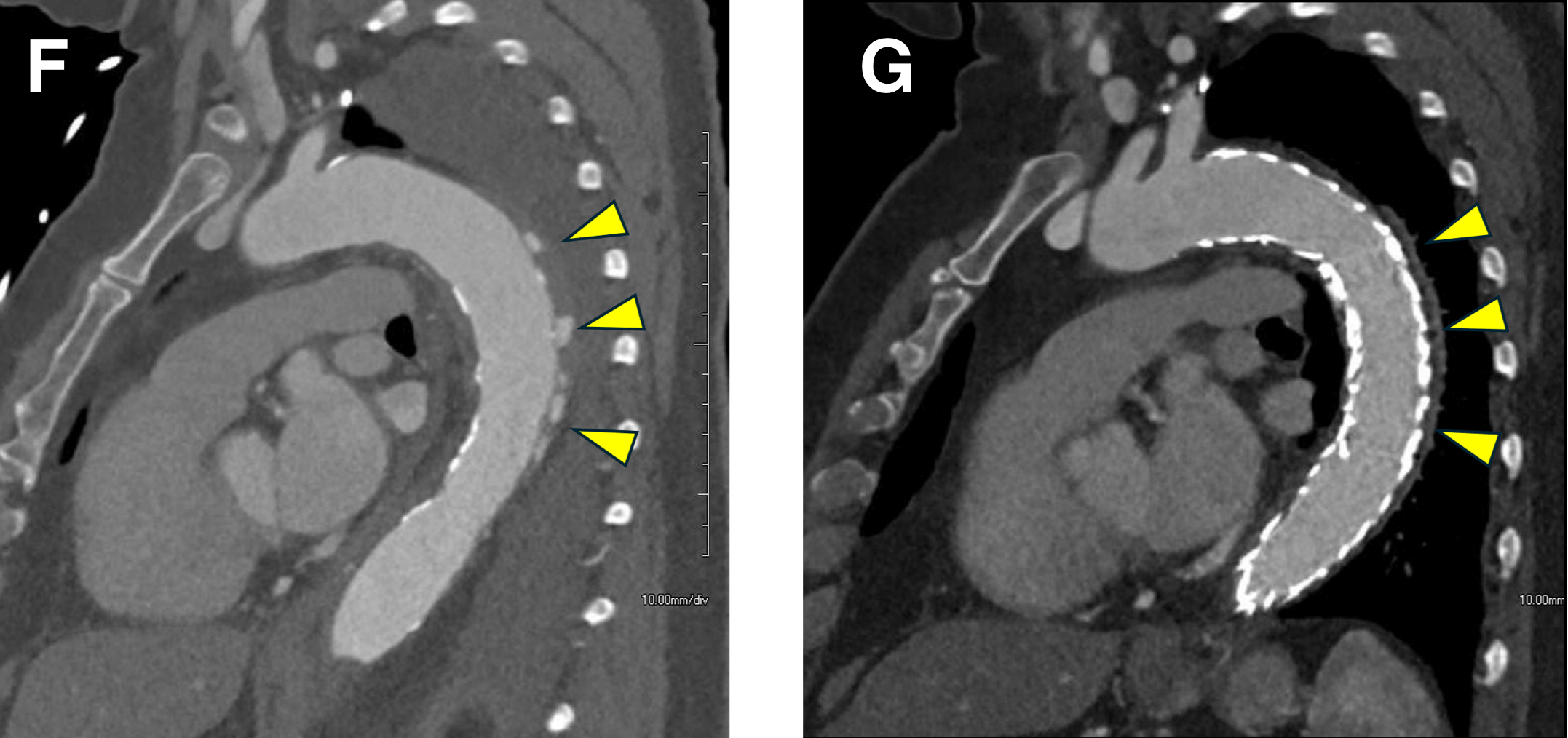
Figure E-F: Treatment of Intramural Hematoma (IMH)
Figure E. Sagittal MPR image before treatment shows ulcer-like lesions and adjacent intramural hematoma (arrowheads).
Figure F. Status post Thoracic Endovascular Aortic Repair (TEVAR). The ulcer-like lesions are no longer identified, and the IMH / aortic mural thickening has decreased (arrowheads).
Figure G-H: Treatment of Intramural Hematoma (IMH)
Figure G: Sagittal subvolume VR image before treatment shows ulcer-like lesions (arrowheads).
Figure H: Sagittal subvolume VR image after treatment. The patient is status post Thoracic Endovascular Aortic Repair (TEVAR). The ulcer-like lesions are no longer identified (arrowheads).
Intramural Hematoma (IMH)
IMH is an imaging finding NOT a specific disease.
Need non-contrast images to appreciate the hyperdense crescent of IMH.
IMH occurs from penetrating atherosclerotic ulcer (PAU) that extends across the internal elastic lamina into the media and/or adventitia. Ruprture of the vaso vasorum occurs, and blood collects in the aortic wall = IMH (arrow in B) . Extension though the adventitial structures can result in pseudoaneurysm or rupture (arrow in C).
Discussion¹
Risk factors for IMH are similar to aortic dissection (#1 = hypertension).
IMH can be categorized like aortic dissection using the Stanford classification: Type A IMH involves the ascending thoracic aorta, whereas type B dissection does not. Likewise, treatment is similar to aortic dissection: surgery / endovascular treatment for type A IMH, and medical management of type B IMH. When type B IMH becomes complicated (persistent pain, endo organ dysfunction, significant enlargement of aortic caliber), endovascular treatment (TEVAR) is often performed.
Reference:
1. Vacirca A, Dias Neto M, Baghbani-Oskouei A, et al. Timing of intervention for aortic intramural hematoma. Ann Vasc Surg. 2023 Aug;94:14-21. doi: 10.1016/j.avsg.2022.09.041. Epub 2022 Oct 26.
All images, protocols, and outcomes are courtesy of Dr. Richard Hallett, Banner University Medical Center – Phoenix, Phoenix, AZ. Individual results may vary.
![]()
IMPORTANT SAFETY INFORMATION | INDICATIONS AND USAGE
EmpowerCTA®+ Injector System
Caution: Federal law restricts this device to sale by or on the order of a physician.
INDICATIONS:
The EmpowerCTA®+ Injector System is indicated for the vascular administration of contrast and flushing media in conjunction with computed tomography (CT) scanning of the body with an optional interface to a CT scanner and an optional calculator for glomerular filtration rate (GFR).
INDICATIONS AND USAGE | IMPORTANT SAFETY INFORMATION
EmpowerCTA®+ Injector System
Caution: Federal law restricts this device to sale by or on the order of a physician.
INDICATIONS:
The EmpowerCTA®+ Injector System is indicated for the vascular administration of contrast and flushing media in conjunction with computed tomography (CT) scanning of the body with an optional interface to a CT scanner and an optional calculator for glomerular filtration rate (GFR).
Protocols have been independently developed and are not intended as medical advice. Bracco and Bracco Injeneering S.A. shall not be responsible for any physicians’ reliance on these or any other products.
CONTRAINDICATIONS:
The EmpowerCTA®+ Injector System is not intended for use as a long-term infusion pump, nor is it intended to be used to inject any agents other than contrast or flushing media. Do not attempt to use the injector for any other purpose (such as chemotherapy or drug infusion). The EmpowerCTA+ Injector System should not be used to inject substances into nonvascular body cavities. Any applications of the EmpowerCTA+ Injector System other than those described in its Operator Manual are inappropriate and should not be attempted.
Not all products are available in all global markets.
EmpowerCTA+ is distributed by Bracco Diagnostics Inc.; 510 Carnegie Center, Suite 300, Princeton, NJ 08540 USA; Phone: (800) 631-5245; Fax: (609) 514-2424; Customer Service: 1-877-BRACCO 9 (1-877-272-2269); Scientific Information: 1-800-257-5181 (Option 2); EmpowerCTA+ Email: empowerinfo@diag.bracco.com; Website: https://smartinject.com/ct-solutions/
EmpowerCTA+ is manufactured by Bracco Injeneering S.A., Avenue de Sevelin 46, CH – 1004 Lausanne, Switzerland. https://www.bracco.com/
EmpowerMR® Injector System
Caution: Federal law restricts this device to sale by or on the order of a physician.
INDICATIONS:
The EmpowerMR® Injector System is indicated for vascular administration of contrast media and flushing media in conjunction with magnetic resonance imaging (MRI).
Protocols have been independently developed and are not intended as medical advice, and Bracco shall not be responsible for any physicians' reliance on these or any other protocols.
Bracco Injeneering S.A. reserves the right at any time and without notice, to change the specifications and features described herein, or to change the production or adjust the product described.
Not all products are available in all global markets.
EmpowerMR is distributed by Bracco Diagnostics Inc.; 510 Carnegie Center, Suite 300, Princeton, NJ 08540 USA; Phone: (800) 631-5245; Fax: (609) 514-2424; Customer Service: 1-877-BRACCO 9 (1-877-272-2269); Scientific Information: 1-800-257-5181 (Option 2); Website: https://smartinject.com/mr-solutions/
EmpowerMR is manufactured for Bracco Injeneering S.A., Avenue de Sevelin 46 CH – 1004 Lausanne, Switzerland. https://www.bracco.com/
About Bracco Injeneering S.A.
Bracco Injeneering S.A., located in Lausanne, Switzerland, is the most recently added Business Unit of Bracco Imaging. Bracco Injeneering is committed to developing the best-in-class, integrated injection solutions with a strong heritage in research and innovation. It provides quality solutions for state-of-the-art radiology centers, offering proven injection technology, built on Bracco Imaging’s expertise.
Thanks to this strengthened product portfolio, including the EmpowerCTA®+ Injector System and EmpowerMR Injector System Bracco Imaging will be able to focus on constant innovation, not only for devices but also for software development and data management.
EmpowerCTA, EmpowerMR, IRiSMR, and NEXO are registered trademarks of ACIST Medical Systems, Inc.
FastLoad is a trademark of ACIST Medical Systems, Inc.
NEXO® Contrast Management System
Intended Use:
The NEXO® Contrast Management System is a server-based application intended to be used as a data management and visualization system. The NEXO Contrast Management System can read, store, share, compare/relate, as well as graphically display data and injection programs coming from RIS, PACS, and multiple enabled EmpowerCTA® Injector Systems. This device provides users with record lists, graphics, and reports about data and performances.
This device is intended for retrospective and statistical data management and visualization. It is not intended for real-time data visualization, diagnostic applications, or for any other use for which the device is not indicated. This device is only to be operated by and under quasi-continuous supervision of qualified and trained staff in an appropriately licensed healthcare facility.
The NEXO Contrast Management System is compatible with the EmpowerCTA Injector System version 8.0, and EmpowerCTA®+ Injector System version 10.0 and higher.
Not all products are available in all global markets.
NEXO is distributed by Bracco Diagnostics Inc.; 510 Carnegie Center, Suite 300; Princeton, NJ 08540 USA; Phone: (800) 631-5245; Fax: (609) 514-2424; NEXO Customer Service: 1-877-BRACCO 9 (1-877-272-2269); NEXO questions: Nexo.Answers@diag.bracco.com; NEXO U.S. Technical Service and Support: Phone: 888-670-7701; Fax: 609-514-2448; NEXO Email: customer.support@acistmedical.com; Website: https://smartinject.com/digital-solutions
NEXO is manufactured by ACIST Medical Systems, Inc., 7905 Full Road, Eden Prairie, MN 55344 USA.
NEXO and EmpowerCTA are registered trademarks of ACIST Medical Systems, Inc.
ulricheasyINJECT Max 3™ (the Bracco-branded Max 3™, a Rapid Exchange and Syringeless MR Injector System) is distributed by Bracco Diagnostics Inc.
Indications for use
ulricheasyINJECT Max 3 is a contrast media (CM) management system that is indicated for the controlled, automatic administration, on the venous side, of contrast media and saline (NaCl), to human subjects undergoing diagnostic examinations in magnetic resonance (MR) applications.
ulricheasyINJECT Max 3 (XD 10180) is specifically indicated for use in MRI procedures for the delivery of VUEWAY® (gadopiclenol) solution for injection – Bracco Diagnostics Inc., MultiHance® (gadobenate dimeglumine) injection – Bracco Diagnostics Inc., Clariscan™ (gadoterate meglumine) injection – GE Healthcare Inc., DOTAREM®(gadoterate meglumine) Injection – Guerbet, LLC, Gadavist® (gadobutrol) injection – Bayer HealthCare Pharmaceuticals Inc., and Gadobutrol Injection – Fresenius Kabi AG, contrast media as supplied in approved single dose vials and Gadavist (gadobutrol) Injection – Bayer HealthCare Pharmaceuticals Inc. and Gadobutrol Injection – Fresenius Kabi AG, contrast media as supplied in approved Imaging Bulk Packages (IBPs).
The ulricheasyINJECT Max 3 is not intended for injection of contrast media for high-pressure angiography.
Easy-Click-Cassette – flex Max 3 is used for a maximum time of twenty-four (24) hours or a maximum of 96 bottles of contrast media, whichever comes first.
Use time expiration per single dose contrast media container is a maximum of four (4) hours per contrast media container, unless otherwise stated by the contrast media labeling.
Use time expiration per IBP contrast media container is a maximum of twenty-four (24) hours per contrast media container, unless otherwise stated by the contrast media labeling.
Spike for MRI disposable is for single-bottle use only and must be discarded with the media container. The Patient tubing must be discarded after each patient procedure.
ulricheasyINJECT Max 3 (XD 10180) is to be used only by and under quasi-continuous supervision of trained healthcare professionals in an appropriate licensed healthcare facility, in a room designated for radiological procedures that involve intravascular administration of contrast agent.
Contraindications
ulricheasyINJECT Max 3 injectors are not intended for the administration of contrast medium during high-pressure angiography or other applications that do not comply with the intended use.
The injector is not protected against the effects of defibrillation. Before a defibrillator is used, the patient must be disconnected from the ulricheasyINJECT Max 3 injector.
Do not add any disposables (i.e. connector tubing or valves) to the ulricheasyINJECT Max 3 with the patient tubing that are not provided by ulrich medical. No valves or other connectors may be placed in-line between the patient tubing and the patient cannula. The disposables identified in this IFU are designed, manufactured, and tested for connection with cannulas for pressure injections.
Do not use ulricheasyINJECT Max 3 injectors with any other contrast media (other than those described in the IFU). Any other contrast media are inappropriate and should not be used. Do not operate the injector and terminal, including any accessories, in potentially explosive atmospheres or in the vicinity of combustible materials (especially anesthetic drugs, detergents, and oxygen-enriched environments).
ulricheasyINJECT Max 3 is manufactured by ulrich GmbH & Co. KG.
ulrich medical is a registered trademark of ulrich GmbH & Co. KG.
ulricheasyINJECT Max 3 is a trademark of ulrich GmbH & Co. KG.
ulricheasyINJECT Max 3 is distributed as the Bracco-branded Max 3, a Rapid Exchange and Syringeless MR Injector System, by Bracco Diagnostics Inc.; 510 Carnegie Center, Suite 300, Princeton, NJ 08540 USA; Phone: (800) 631-5245; Fax: (609) 514-2424; Customer Service: 1-877-BRACCO 9 (1-877-272-2269); Scientific Information: 1-800-257-5181(Option 2); Website: https://smartinject.com/max3/
All other trademarks and registered trademarks are the property of their respective owners.
